Direct composite veneers can be notoriously challenging to match with the natural teeth's color. "Several restorative techniques have been proposed for stratification in the anterior sector," says Dr. Rafael Calixto. A simplified stratification can be applied with very satisfactory results, but to do this, it is necessary to know the translucency concept of the materials and layer's thickness."
This case, conducted by Dr. Calixto, demonstrates a highly effective technique for Class II restorations of maxillary central incisors using the Transcend™ universal composite system. The patient presented to Dr. Calixto with existing composite resin veneers they wanted replaced to achieve a superior esthetic appearance. The case highlights the use of simplified stratification, emphasizing the importance of understanding material translucency and layer thickness. "Transcend composite is a simplified system in terms of the number of shades available, but those shades and polishing properties allow for excellent results through fast and efficient layering," Calixto says.

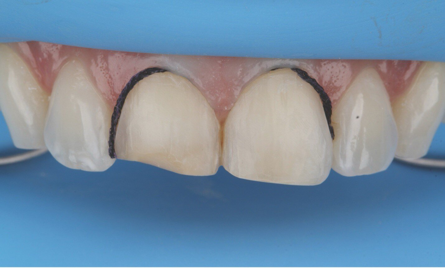
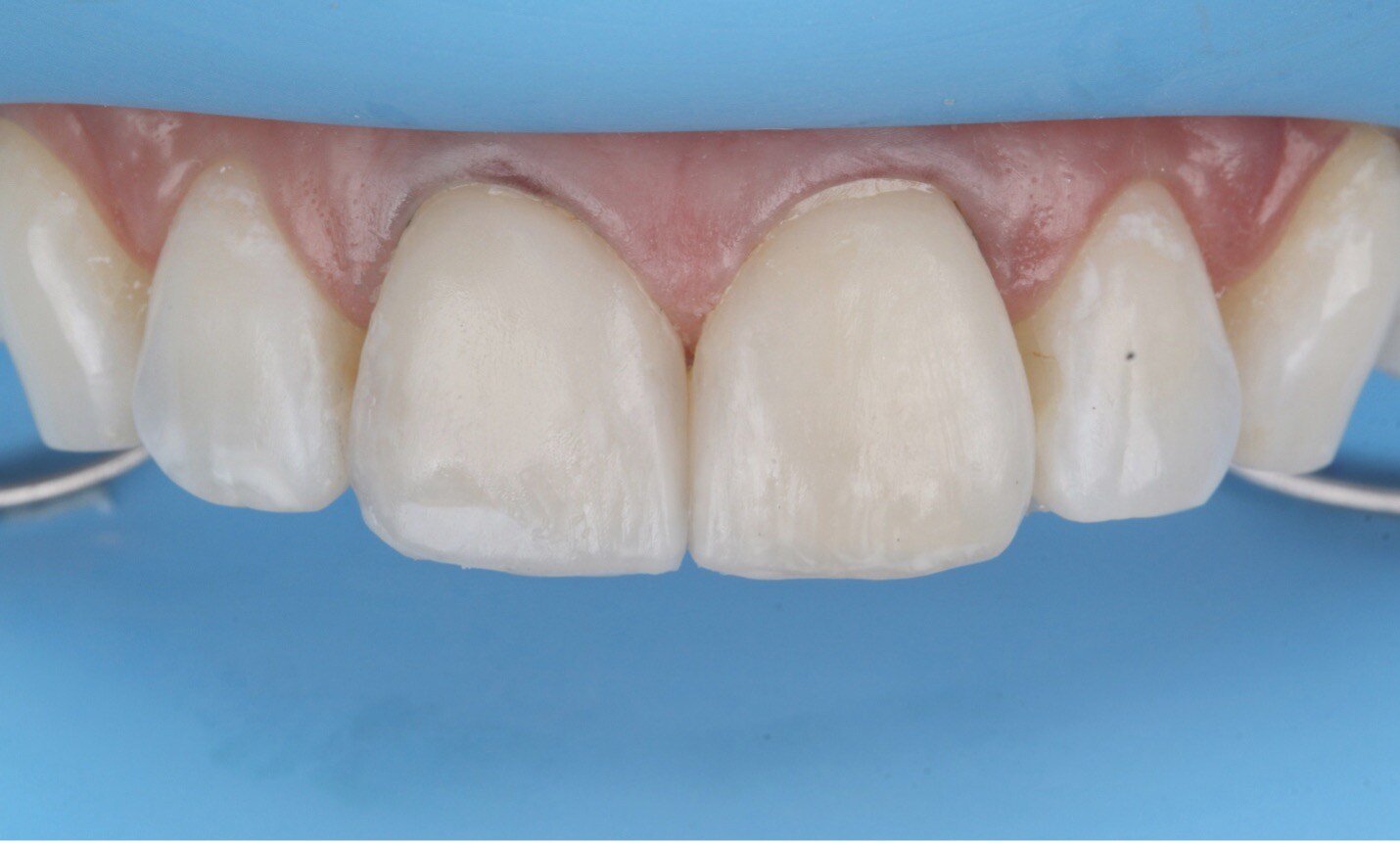
- Initial Presentation: The central incisors exhibit noticeable stains and a loss of gloss. The objective is to replace the existing composite resin veneers to enhance the teeth's esthetic appeal.

2. Tissue Management: An Ultrapak™ 000 retraction cord is strategically placed to ensure optimal tissue displacement, which is crucial for controlling sulcular fluid during the procedure.

3. Matrix Fitting: A PVS matrix is carefully fitted to the tooth preparation. This matrix helps in guiding the subsequent steps, ensuring precision in the layering process.

4. Enamel Etching: The teeth are isolated, and Ultra-Etch™ 35% phosphoric acid etchant is applied for 15 seconds on the cut enamel. This step prepares the enamel for bonding by increasing surface area for better adhesion.

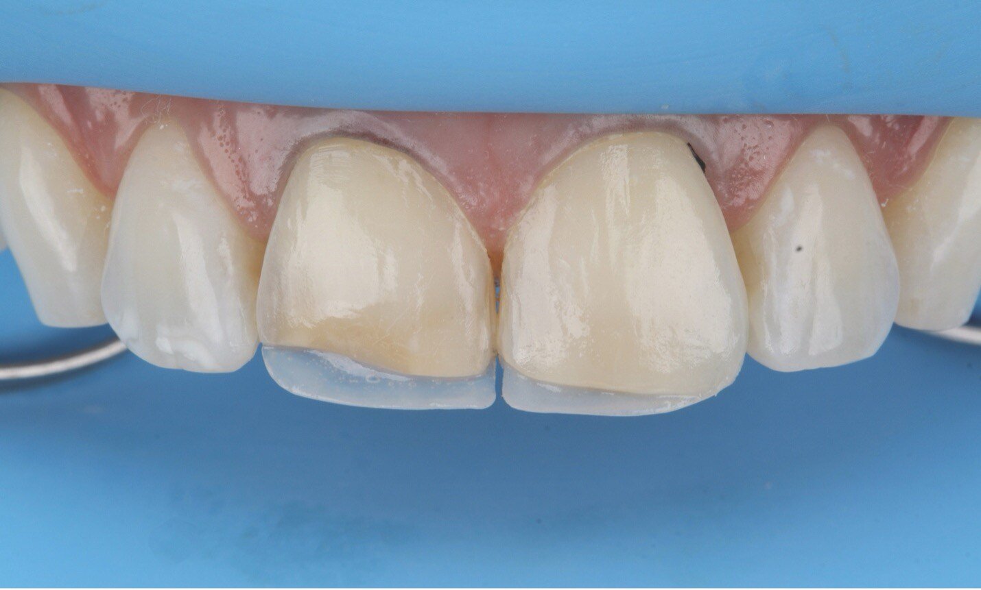
5. Bonding: Following the etching, Peak™ Universal Bond adhesive is applied. The initial lingual shell is created using Transcend™ composite Enamel Neutral shade, setting the foundation for the veneer.

6. Balancing Substrate Colors: To address the color differences between the substrates, a lighter dentin shade (B1D) is applied to the darker tooth (#8), and a darker dentin shade (A2D) is used for tooth #9. This ensures a balanced and natural appearance.

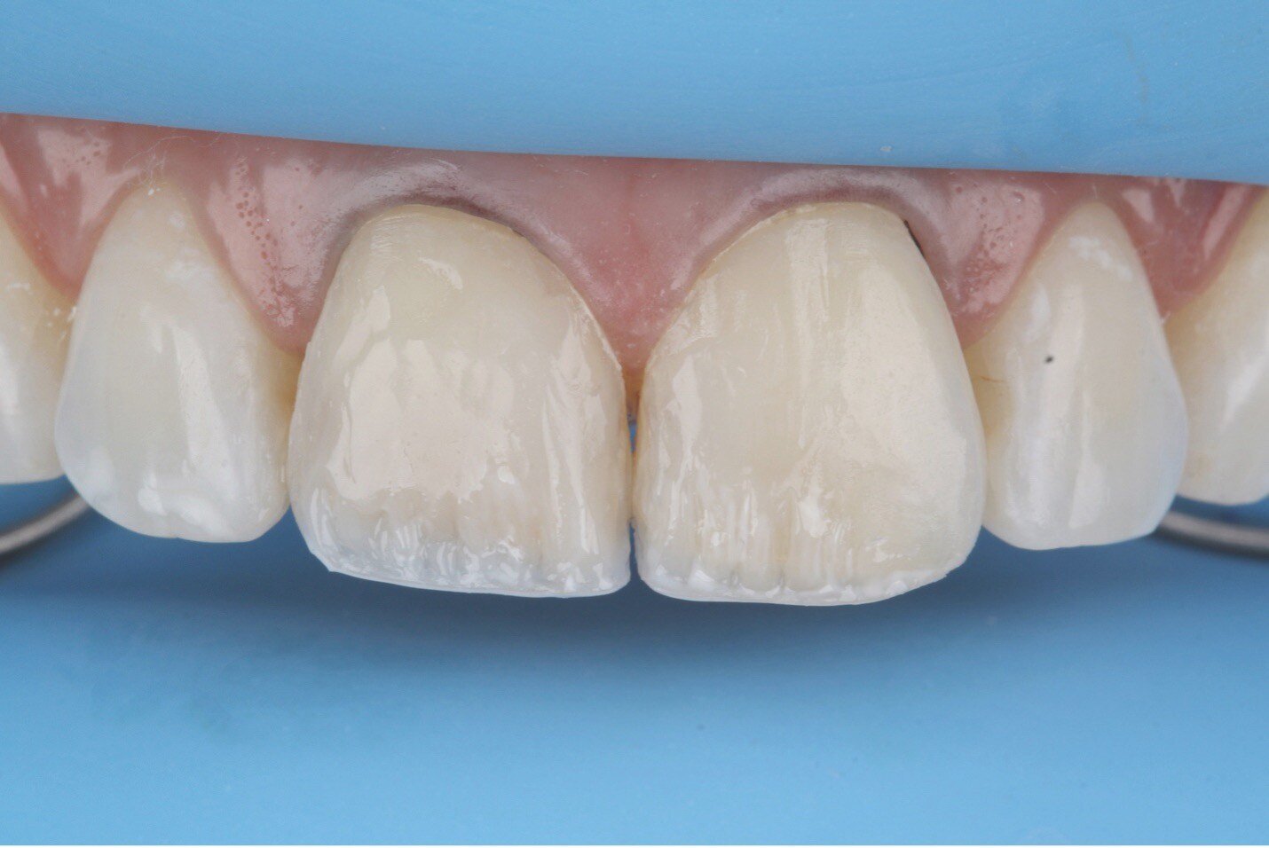
7. Final Layer Application (Tooth #9): Transcend composite Enamel White is applied as the final layer on the facial surface of tooth #9. This layer is then cured using the VALO™ curing light to solidify the composite.

8. Final Layer Application (Tooth #8): The same composite (Enamel White) is used for the final layer on tooth #8. The proximal contacts are meticulously reproduced before curing.

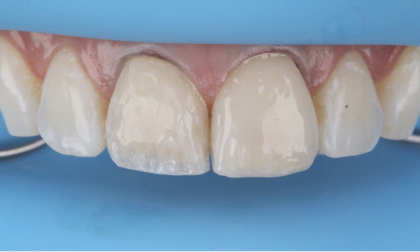
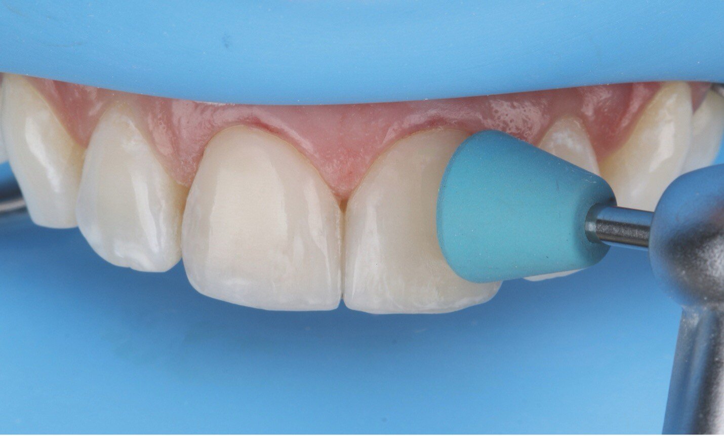
9. Cord Removal and Initial Polishing: The Ultrapak cord is removed, and the teeth are polished using the Jiffy™ Natural Medium spiral polishing wheel. This step begins the polishing process, ensuring the veneers have a smooth surface.

10. Fine Polishing: Further polishing is done with the Jiffy Natural Fine spiral polishing wheel, enhancing the smoothness and shine of the veneers.

11. High-Shine Finish: A final polish with the Jiffy™ HiShine cup creates a highly polished finish on the cervical buccal area, giving the teeth a natural and esthetically pleasing gloss.

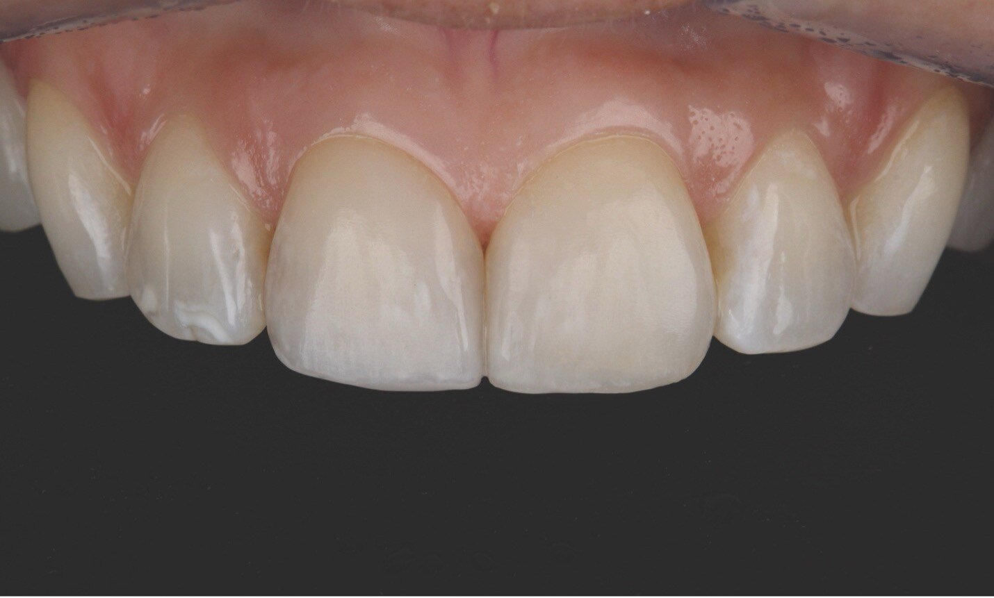
12. Final Results: The restoration is complete, revealing an esthetically enhanced smile with veneers that seamlessly blend with the natural teeth.
Using a simplified stratification technique and leveraging the optical properties of Transcend Universal composite, Dr. Calixto achieved a balanced and natural-looking result. From initial presentation and tissue management to final polishing, this approach ensures the veneers match the natural tooth color and gloss.
About Dr. Rafael Calixto

Professor Rafael Calixto holds a master's of science (MSc) and doctorate of philosophy (PhD) in restorative dentistry from UNESP in São Paulo, Brazil. He has authored the book Direct–Composite Veneers and runs a private practice in São Paulo, Brazil. Dr. Calixto is an international speaker, teaches the Dentistry Specialization course at FAEPO in São Paulo, and coordinates the Specialization Course in Dentistry at the Brazil Association of Dentistry in Alagoas, Brazil. Dr. Calixto also teaches the Master of Rehabilitation course at ADA in Madrid/Spain and coordinates the Specialization Course in Dentistry at ECO-Academy in São Paulo.
