There are two things dentists seem to always be striving to improve: speed and quality. With cases requiring a sectional matrix system being so common, one area where many clinicians look to save time and boost results is with the sectional matrix system they choose.
For Dr. Brett Richins, the case below perfectly showcases how the Halo™ matrix system enhances his abilities. "The Halo matrix system makes my Class II restorations faster and improves the final result," says Dr. Richins. "I love the contour of the matrix bands and the way the tines adapt to the anatomy of the teeth. My contacts and marginal ridges have never been better." He says time saved during restorations is the best part about using the Halo system. "I almost never need to remove flash or modify the occlusal embrasure. I can tell that the Halo system was designed with both the patient and the clinician in mind; it achieves great results and is easy to use."
Class II Restoration on a Mandibular Second Premolar
- Class II slot preparation on a mandibular second premolar.

2. Halo™ matrix band was placed with the Halo™ tweezers.

Halo Tweezers
3. The Halo™ wedges achieve great gingival margin adaptation and aid in separation for ideal contacts in the final restoration. The wedges are easily placed and removed with the Halo tweezers.

Halo Wedges
4. The anatomical design of the Halo™ ring holds the matrix band to the tooth and provides the additional separation needed to achieve tight interproximal contacts.

5. The Halo™ matrix band has ideal anatomical contours, making burnishing and shaping of the band unnecessary in most situations. If needed, an instrument can be used to adapt the matrix band and ensure proper contact with the adjacent tooth.

Halo Matrix Bands
6. Composite was layered and contoured.

7. Immediately after the Halo™ matrix system was removed. One of the main advantages to this system is the minimal amount of finishing that is required.

8. The restoration was finished using Jiffy™ Natural polishers.

Jiffy Natural Composite finishing and polishing system
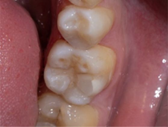
9. Final restoration after the rubber dam was removed.

About Dr. Brett Richins

After earning his bachelor's degree in biomedical engineering from the University of Utah in 2008, Dr. Richins received his doctorate from the University of Pittsburgh School of Dental Medicine in 2012. He is a member of the Academy of General Dentistry, the American Dental Association, and the Utah Dental Association. He continues to pursue his education and frequently attends advanced courses that cover topics such as Endodontics, Implantology, Cosmetic Dentistry, Oral Pathology, TMJ, Sleep Apnea, and much more. He has also done humanitarian dentistry in underserved areas of Jamaica, Vanuatu, and Appalachia. In addition to practicing dentistry, Dr. Richins spends one day a week working as a Clinical Advisor for Ultradent Products. Ultradent has been developing and manufacturing the highest quality dental products for over 40 years. Dr. Richins's role at Ultradent allows him to be involved in testing and developing the latest dental products.
