
FORMA composite features a zirconia nano-hybrid formula that allows for an exceptionally durable restoration with better initial and retained gloss. The silanated zirconia particles in FORMA composite are rounded, giving a beautiful high gloss finish and enhanced durability to the restoration—making FORMA composite ideal for both anterior and posterior applications.
It is available in a full range of shades with ideal translucency, opacity, and fluorescence when compared with the natural characteristics of the tooth. FORMA composite’s excellent optical properties enable clinicians to reach the ideal balance between esthetics of direct restorations and dental substrates with the use of only one body color (OneStepColor), or through a combination of dentin, enamel, and effect shades for more specific procedures. A zirconia nano-hybrid formula gives FORMA composite excellent mechanical properties, high strength, and excellent working consistency. It is easy to sculpt and simple to polish, offering beautiful final esthetics.
Here is a Clinical Case published by Dr. Paulo Soares on FORMA

DR. PAULO SOARES
Dr. Soares is a Professor of Operative Dentistry and Dental Materials at the Federal University of Uberlandia (FFU), Brazil; and he also received his master’s degree there in 2005. Three years later he got his PhD from UNICAMP, SP. He pursued his post-doctoral in Restorative Dentistry at the University of Illinois at Chicago in 2014. He has more than 54 manuscripts published in international periodicals, 14 chapters published in restorative dentistry and operative dentistry books, and has been the Director of the Non-Carious Cervical Lesion Research Group in Brazil since 2008.
In 2017 he authored the book Non-Carious Cervical Lesions and Cervical Dentin Hypersensitivity—Etiology, Diagnosis and Treatment. He maintains a clinical practice focused on minimally invasive dentistry and dental esthetics.
1. View of prepped tooth after composite removal

2. Placement of DermaDam™ dental dam.

3. Selective etch of enamel with Ultra-Etch™ etchant.

4. Selective etch of dentin with Peak™ SE Primer

5. Placing the Halo™ matrix band with Halo™ Tweezers.
6. Application of Peak™ Universal Bond adhesive.

7. Adaptation of the ring from the Halo system with the Halo™ Forceps.

8. Light placement with VALO™ Grand curing light.

9. Curing with VALO™ Grand curing light.

10. Insertion of incremental filling with FORMA™ composite resin

11. Condensation of composite

12. Occlusal view of distal wall.

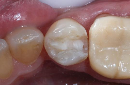
13. Occlusal view of composite restoration before adjustment and polishing.

14. Initial polish with Jiffy™ Natural Medium Yellow composite polisher.

15. Final polish with Jiffy Natural Fine White composite polisher.

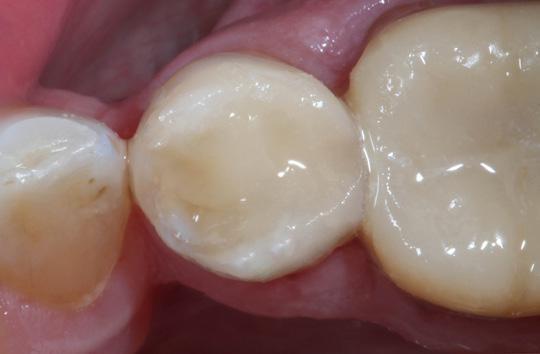
16. Final view of composite restoration.

